Artemisinin Powder
MF: C15H22O5
MW: 282.34
Solubility: Soluble To 100mM in DMSO and to 75mM in Ethanol
Inventory: In Stock
Delivery Speed:1-3 Days
Certification: ISO9001, ISO22000, Kosher, Halal, HACCP
Payment: T/T,VISA,XTransfer,Alipay
- Fast Delievery
- Quality Assurance
- 24/7 Customer Service
Product Introduction
What Is Artemisinin?
Artemisinin Powder is a sesquiterpene lactone compound with a peroxide group structure extracted from the leaves of the Asteraceae plant Artemisia annua. It is also an anti-malarial active ingredient. The main derivatives of artemisinin include artemether, arteether, artesunate, dihydroartemisinin, etc. It is a colorless needle-shaped crystal, easily soluble in chloroform, acetone, ethyl acetate and benzene, soluble in ethanol and ether, slightly soluble in cold petroleum ether, and almost insoluble in water. Because it has a special peroxide group, it is unstable to heat and is easily decomposed by moisture, heat and reducing substances. It is mainly used to treat malaria. With the continuous deepening of research, it has been found that artemisinin compounds have many other effects, such as antibacterial and insecticidal, antipyretic, anti-inflammatory, immunomodulatory and other pharmacological effects.


Product Details Table
| Poduct Name | Artemisinin |
| CAS | 63968-64-9 |
| MF | C15H22O5 |
| MW | 282.34 |
| Solubility | Soluble to 100mM in DMSO and to 75mM in ethanol |
| Appearance | Colorless crystals or white powder |
| Melting point | 156–157 °C |
Features
Solubility: Soluble in chloroform, acetone, ethyl acetate and benzene, soluble in ethanol and ether, slightly soluble in cold petroleum ether, and almost insoluble in water.
Thermal stability: Due to the presence of peroxide groups, it is thermally unstable and easily decomposed by moisture, heat and reducing substances.
Metabolism and excretion: It is a fat-soluble substance that easily passes through the blood-brain barrier and is mainly excreted through the kidneys and intestines. 84% can be excreted within 24 hours, and only a small amount remains within 72 hours.
What Are The Effects?
Immunomodulation
It can stimulate the body to produce interferon, improve immunity, and regulate a variety of immune cells.
Antimalarial
Artemisinin Powder and its derivatives are commonly used drugs for the treatment of malaria, especially for the treatment of chloroquine-resistant malignant malaria and cerebral malaria. They can effectively kill malarial parasites and relieve malaria symptoms, such as high fever, chills and anemia.
Anti-inflammatory
It has anti-inflammatory effects, can antagonize inflammatory factors, reduce the production of inflammatory mediators, and thus relieve inflammatory symptoms.
Antibacterial and anti-inflammatory
It has antibacterial and anti-inflammatory effects, can inhibit a variety of pathogenic microorganisms, reduce inflammatory reactions, and assist in the treatment of skin infections and intestinal infections.
Nervous system diseases
In terms of nervous system diseases, it can resist inflammation, resist oxidative stress, resist apoptosis, regulate autophagy, regulate amyloid protein lesions and repair nerve damage.
Anticoagulation
It can inhibit platelet aggregation and has anticoagulant effects. It can be used to treat discomfort symptoms caused by platelet aggregation dysfunction, such as cerebral thrombosis and cerebral infarction.

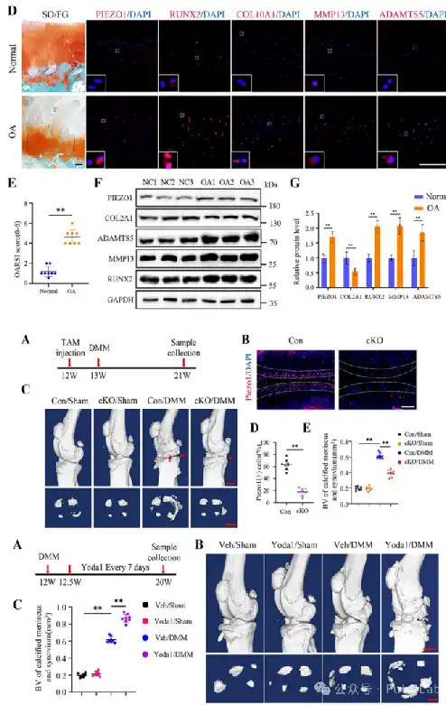
Artemisinin (ART) inhibits Piezo1 activation and the progression of osteoarthritis in mice
Piezo1 plays a key role in promoting the occurrence and development of OA. It has been demonstrated that artemisinin ART can effectively inhibit Piezo1 activation and OA progression in mice, and can be used as a potential treatment for OA.

The expression of Piezo1 in OA cartilage is significantly increased, accompanied by increased expression levels of genes such as RUNX2 and MMP13.

Piezo1 is activated in a PI3K-AKT-dependent manner, promoting RUNX2 expression and chondrocyte catabolism.

ART-treated mice showed significant improvements in articular cartilage erosion, proteoglycan loss, synovial and osteophyte hyperplasia, and pain, alleviating DMM-induced OA lesions.

In summary, this study provides strong evidence to support that ART is a new and effective inhibitor of Piezo1 activation that can alleviate DMM-induced OA lesions in mice.
Applications
Food and health products
Functional foods and health products can be developed.
Medicine
Artemisinin Powder is used for the treatment of malaria, pulmonary hypertension, anti-diabetes, anti-fungal, immunomodulatory, antiviral, anti-inflammatory, anti-pulmonary fibrosis, antibacterial, cardiovascular effects, etc.
Cosmetics
Applications in cosmetics include antibacterial, anti-inflammatory and immunomodulatory effects, and can be used to develop various skin care products.

Biosynthetic Pathways
The biosynthetic pathways of terpenoids are very complex, especially for the biosynthesis of low-content complex molecules such as artemisinin. Biosynthesis can be achieved using the following three pathways:
(1) Increasing the content by adding biosynthetic precursors;
(2) Significantly increasing the content of artemisinin by regulating the key enzymes that control artemisinin synthesis or activating the genes controlled by the key enzymes;
(3) Using genetic engineering methods to change key genes to enhance the efficiency of the enzymes they control.
Extraction and Purification
Alkaline water extraction and acid precipitation method: Take a certain amount of dry powder of Artemisia annua branches and leaves, add ethanol, stir and extract, obtain ethanol extract, dry under reduced pressure, dissolve it in ether-water two-phase solution, and obtain artemisinin and artemisinic acid respectively. The yield of artemisinic acid in this method reaches 90%, and the extraction rate of artemisinin is 57%.
Ethanol method: Take a certain amount of dry powder of Artemisia annua branches and leaves, soak it in dilute ethanol for 24 hours, obtain ethanol extract, inject it into a continuous extraction device, and then extract it with solvent gasoline containing benzene and ethyl acetate to obtain alcohol phase and extraction phase. The alcohol phase can be recycled, and the extraction phase is decolorized with activated carbon, filtered, and the solvent is recovered, and then a concentrated solution is obtained, and then cooled and crystallized to obtain artemisinin coarse crystals, and then recrystallized with ethanol to obtain artemisinin finished product. This method has the advantages of high yield, low cost, fewer steps, simple operation, and safety.
Solvent gasoline method: Take a certain amount of dry powder of Artemisia annua branches and leaves, soak it in 8-10 times 120# solvent gasoline for 3 times to obtain solvent gasoline extract, then reduce pressure and concentrate it and place it for crystallization to obtain crude artemisinin, wash it with a small amount of 120# solvent gasoline for many times, and crystallize it with 50% ethanol for 2-3 times to finally obtain white needle crystals of artemisinin. This method has simple process steps and is easy to use in large-scale production.
Formulation Of Artemisinin
Capusle Formulation

Tablet Formulation

Solid Drink Formula

Certificates
YTBIO is developing in an all-round way. We have our own factory, quality inspection and R&D team. We are committed to providing customers with the best quality Artemisinin Powder and services. It is our original intention to let every consumer enjoy high-quality and healthy products. If you have any needs or questions about our products, please feel free to contact us and we will reply you as soon as possible.

Packaging and Shipping

Our Factory

_1737093401309.png)
